
|
© K. A. Blodget |
|
|
Human blood, showing two leukocytes: a neutrophil and monocyte. Photographed with Kodak Éktochrome slide film. |
|

|
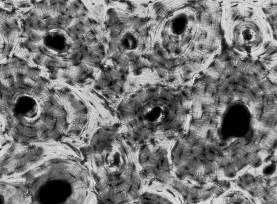
© K. A. Blodget |
|
|
Compact bone tissue photographed with T-max 100 film through a Nikon light microscope using Köhler illumination and a single lens reflex camera. |
Back to Photo index page